Mr. Abhinav has expertise in conditions affecting the brain and spinal cord and focusses on complex brain surgery treating challenging conditions affecting the base of the skull, pituitary gland and blood vessels in the brain. He is adept in both open surgical techniques and endoscopic endonasal neurosurgery carried out through the nose, allowing him to choose the best surgical approach to improve patient outcomes. Click on the tabs below to learn about his areas of expertise:
-
Endoscopic Endonasal
NeurosurgeryEndoscopic endonasal approach (EEA) is a minimally invasive surgical technique that allows your surgeon to treat tissue damage and tumours near the spine or brain by utilising an endoscope placed through the nose and sinuses.
-
Pituitary Tumours
Pituitary tumours are abnormal growths within the pituitary gland, a small gland located near the base of the brain. Pituitary tumours can be either functioning or non-functioning. Functioning tumours secrete pituitary hormones that can lead to a clinical syndrome, while non-functioning tumours are those that can cause a syndrome by not secreting pituitary hormones.
-
Aneurysms
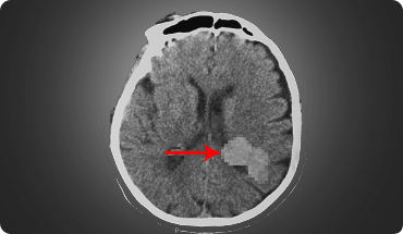
A brain aneurysm is the ballooning of a weak area on the wall of an artery in the brain. An aneurysm can leak or rupture causing blood to escape into the brain. This is an emergency condition as the blood can damage brain tissue and increase pressure inside the skull, disrupting oxygen supply to the brain, which can lead to unconsciousness or even death.
-
Arteriovenous Malformations
An arteriovenous malformation (AVM) is an abnormal tangle of the blood vessels that connect the veins and arteries in your brain. An AVM can develop anywhere in the body, but it is more common in the brain and spine.
-
Cavernous Malformations
A cavernous malformation is a rare type of vascular condition characterised by clusters of tiny blood vessels or capillaries in the brain that is irregular and enlarged in structure.
-
Schwannoma
A schwannoma is the abnormal growth of Schwann cells, which line and insulate nerves. It is usually benign and rarely spreads to affect other tissues and organs, but malignant schwannomas that spread are called neurofibrosarcomas or malignant peripheral nerve sheath tumours (MPNSTs).
-
Degenerative Spinal Conditions
A degenerative condition is a continuous deterioration of a tissue or an organ in your body over time.




